 Galeria de imagenes de los pulmones.
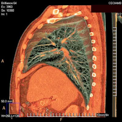
Galeria de imagenes de los pulmones. Estas son algunas imagenes de los pulmones en recontrucciones con  tomografia, manipulando el software y cabiando los niveles de grises y  color se pueden obtener las fantasticas imagenes que les dejo a  continuacion. Es una lastima que quienes estudian anatomia, no dispongan  de herramientas como estas para ver la anatomia humana. Se que existen  algunos programas que permiten cargar un grupo de imagenes axiales y  hacer recontrucciones similares a las que he colocado, sin embargo no  estan disponibles para todas las plataformas y tienden a ser  costosos.Las imagenes mostradas representan un corte grueso de  diferentes porciones de los pulmones, reconstruyendo diferentes  densidades. Por eso en algunas imagenes de aprecian los pulmones, pero  en otros lo que se ven son solo los vasos pulmonares y en algunas otras  la pared toracica (desde adentro). La verdad la imagenes dejan poco para  la imaginacion. Como siempre espero que las disfruten como lo hice yo  al realizarlas. No olviden visitar mis paginas WEB
Estas son algunas imagenes de los pulmones en recontrucciones con  tomografia, manipulando el software y cabiando los niveles de grises y  color se pueden obtener las fantasticas imagenes que les dejo a  continuacion. Es una lastima que quienes estudian anatomia, no dispongan  de herramientas como estas para ver la anatomia humana. Se que existen  algunos programas que permiten cargar un grupo de imagenes axiales y  hacer recontrucciones similares a las que he colocado, sin embargo no  estan disponibles para todas las plataformas y tienden a ser  costosos.Las imagenes mostradas representan un corte grueso de  diferentes porciones de los pulmones, reconstruyendo diferentes  densidades. Por eso en algunas imagenes de aprecian los pulmones, pero  en otros lo que se ven son solo los vasos pulmonares y en algunas otras  la pared toracica (desde adentro). La verdad la imagenes dejan poco para  la imaginacion. Como siempre espero que las disfruten como lo hice yo  al realizarlas. No olviden visitar mis paginas WEB 
















 
 
 
 
 
 
No hay comentarios:
Publicar un comentario